Hösten 2024 lanserade Solventum sitt senaste tillskott till Filtek-familjen – Filtek Easy Match. Målet är att göra kompositbehandling enklare och snabbare, samtidigt som den höga kvaliteten på fyllningarna som Solventum är känd för bibehålls. I denna artikel berättar Ida Louise Line om några patientfall vid användning av denna innovativa komposit.
Av tandläkare Ida Louise Line, Colosseum Tannlege Tønsberg, Norge.
Hösten 2024 lanserade Solventum, tidigare 3M Health Care, sitt senaste tillskott till Filtek-familjen – Filtek Easy Match.
Målet är att göra kompositbehandling enklare och snabbare, samtidigt som den höga kvaliteten på fyllningarna som Solventum är känd för bibehålls. Med endast tre färger – Bright, Natural och Warm – ska det vara enkelt att hitta en ersättare för alla 16 Vita Classicalfärger.
Produkten har nyligen lanserats i Norge, men de erfarenheter jag (Ida Louise Line) har gjort pekar mot en lovande produkt.

Porträttbild på tandläkaren Ida Louise Line.
Filtek Easy Match bygger på samma nanoteknologi som andra av Solventums välkända och populära dentala kompositer i Filtekserien. Kompositen har en fast konsistens, liknande Filtek Supreme XTE universal komposit. Om man föredrar en mer lättflytande komposit kan kapslarna värmas upp till 70 °C i upp till 1 timme utan att det påverkar materialets egenskaper eller hållbarhet.
Filtek Easy Match har en opacitet som motsvarar en bodyfärg. Den uppvisar dentinliknande opacitet i lager tjockare än 2 mm, men erbjuder emaljliknande transparens där det behövs – till exempel vid kantskärning/bevel och incisalt där tjockleken är 0,5–1 mm. Färgen Natural är utformad för att passa de flesta fall. För mycket ljusa tänder rekommenderas färgen Bright, medan vuxna tänder med högre färgmättnad behandlas med färgen Warm.
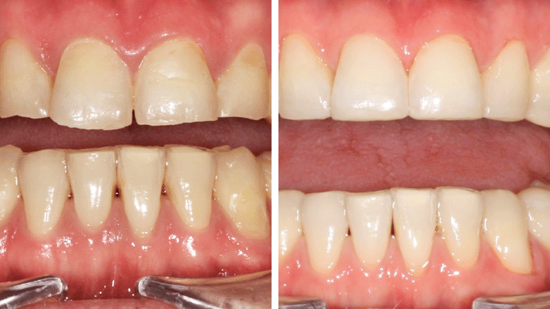
För att få en jämn och estetiskt tilltalande övergång mellan tand och fyllning rekommenderas att preparera en kantskärning/bevel. Min erfarenhet visar att detta är en viktig faktor för ett bra resultat. Jag har försökt lägga klass IV-fyllningar med Filtek Easy Match både med och utan kantskärning/bevel. Som visas på foto 1b är gränsen mellan fyllning och tand svagt synlig, trots en god färgmatchning. Här gjordes preparation utan bevel.

Kollage av bild 1a, före-op, och 1b, Filtek Easy Match.
Foto 2a–2c visar en liknande restaurering på tand 11, denna gång med en 0,5 mm bred kantskärning/bevel. Detta möjliggör en tunnare materialtjocklek i övergången mellan tand och fyllning och säkerställer en emaljliknande transparens i materialet. Övergången blir sömlös och estetiskt tillfredsställande. Foto 2c är taget direkt efter behandlingen.

Bild 2a, före operation.
Bild 2b, preparation med bevel.
Bild 2c, direkt efter behandlingen.
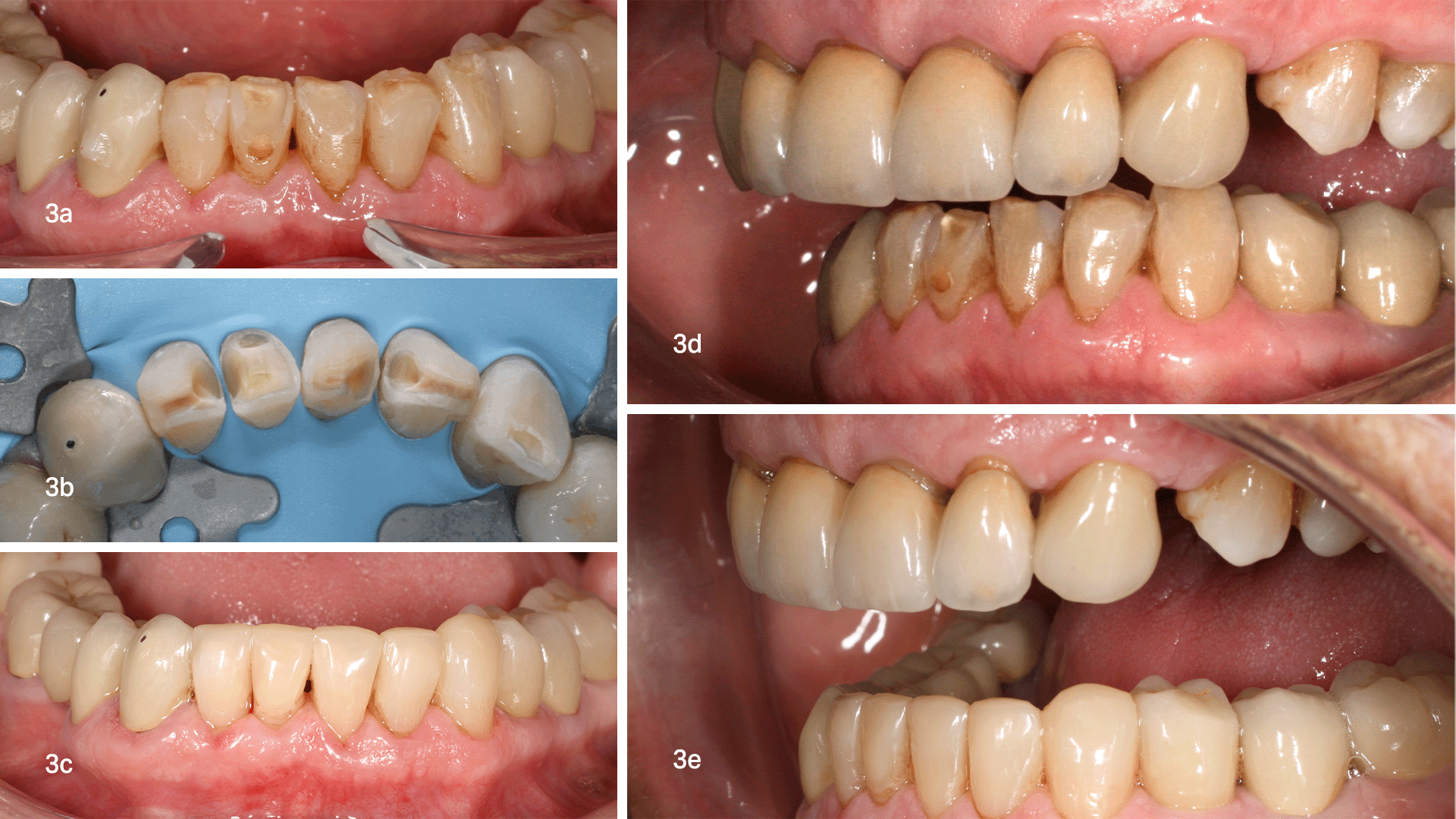
Fallet som illustreras i foto 3a–3e visar en kombinationsbehandling med ortodonti. Patienten önskade från början fem kronor för bättre estetik. Den ocklusala vertikala dimensionen var dock för liten, och en kronpreparation hade medfört en övervägande risk för pulpakomplikationer. Behandling inleddes därför med aligners i underkäken, och efter sju månader hade tillräckligt med utrymme skapats för att restaurera tänderna.
För att hålla kostnaderna nere och undvika kronpreparation i fronten i underkäken, där tänderna är tunna och utrymmet begränsat, valdes kompositbehandling i samråd med patienten. De gamla fyllningarna ersattes. Patienten informerades om att hon fortfarande har möjlighet att få kronor i framtiden om hon önskar det.
Estetiken med Filtek Easy Match blev dock tillfredsställande, och patienten är nu nöjd med både funktion och utseende.

Foto 3a. Efter ortodontisk behandling i underkäken
Foto 3B. Efter avlägsnande av fyllning och kantskärning
Foto 3c. Filtek Easy Match 33–42
Foto 3d. Före behandling
Foto 3e. Slutligt resultat efter ortodontisk behandling och kompositrestaurationer 33-42
Alla restaurationer i de tre fallen har utförts med god torrläggning, Ultra-Etch™ 35% från Ultradent Products, Inc., 3M™ Scotchbond™ Universal Plus Adhesiv och uppvärmd Filtek Easy Match i färgen Warm.
En av kvaliteterna hos detta material är att det är enkelt och snabbt att polera till en slät, estetisk och naturtrogen yta. Där estetiken är av störts vikt kommer många sannolikt att fortsätta använda flerskiktsteknik och kompositer med olika färger och opaciteter.
Det finns dock ofta fördelar med att använda material som är tidsbesparande och lättanvända. Filtek Easy Match visar lovande egenskaper och teknologin bygger på Solventums gedigna och långa erfarenhet av dentala material.


