Varsam 3D-röntgen för patienter i alla storlekar
Planmecas Ultra Low Dose-protokoll kan användas med alla voxelstorlekar och röntgenprogram – från de minsta till största FOV. Det är idealiskt för att få detaljerad anatomisk information med en mycket låg patientdos.
Enkel och smidig att använda
Att använda Planmeca Ultra Low Dose-protokollet vid 3D-röntgen är lika enkelt som att trycka på en knapp. Du väljer det enkelt från kontrollpanelen på röntgenenheten – med patientdosen för bilden omedelbart synlig för full transparens.

Ideal balans mellan kvalitet och stråldos
Det banbrytande lågdos-protokollet är baserat på intelligenta algoritmer som minskar den effektiva patientdosen betydligt utan någon minskning av bildkvaliteten. Det hjälper alla slags kliniker att följa ALARA-principen (As Low As Reasonably Achievable).
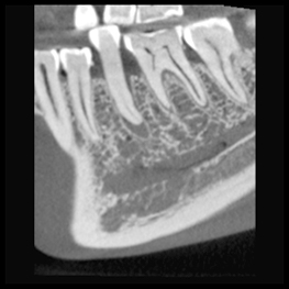
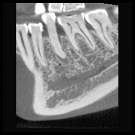
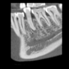
Planmeca Ultra Low Dose har visat sig vara idealiskt för ett brett spektrum av kliniska fall: från ortodonti, implantatplanering och maxillofacial kirurgi till luftvägs- och sinusstudier.
Se bara det du behöver
Höga upplösningar och standarddoser är inte alltid nödvändigt – ofta räcker det med lägre dos och upplösning. Planmeca Ultra Low Dose är tillräcklig för att se den mandibulära nervkanalen för implantatplanering och extraktion av visdomstand, till exempel. Allt kan göras med en otroligt låg dos.
|
|
|
|
|
|
Kontakta oss
Vill du veta mer om Planmecas utrustning och hur vi kan hjälpa dig få en bättre vardag på kliniken? Hör av dig till våra specialister på utrustning så berättar vi om vilka produkter och lösningar som passar just dig!
Mer om CBCT-röntgen
Alla våra CBCT-röntgenapparater är enkla att använda och ger kristallklara bilder – även med låg stråldos. De har utformats med flera högteknologiska lösningar och algoritmer för att förhindra mänskliga fel i bildtagningen.





